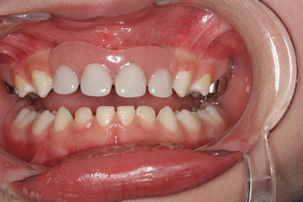
حافظ المسافة هو جهاز صغير يركبه طبيب الأسنان في فم الطفل للحفاظ على الفراغ الناتج عن فقدان سن لبني ( سن حليب)
قبل موعده الطبيعي.
عادةً يظل موجود إلى أن تبدأ السن الدائمة بالظهور . المدة تختلف حسب عمر الطفل ونوع السن المفقود، وقد تمتد لأشهر أو
حتى سنوات
الطريق الدائري الرابع
مركز كلوفر
السبت - الخميس: 9 صباحًا - 10 مساءً
الجمعة: 2 ظهرًا - 10 مساءً
الفحيحيل اكسبريس
مبنى دانة الفرج
السبت - الخميس: 9 صباحًا - 10 مساءً
الجمعة: 2 ظهرًا - 10 مساءً
برج بلس لطب الأسنان، شارع حبيب مناور، الفروانية 80000، الكويت
السبت - الخميس: 9 صباحًا - 10 مساءً
زوروا فروعنا في الكويت وتعرّفوا على أوقات العمل المرنة التي صممناها لتناسب احتياجاتكم.