العناية بأسنان الأطفال ضرورية للحفاظ على صحة الفم، وتجنب الألم، والوقاية من المشاكل المستقبلية. سواء كانت الأسنان
لبنية أو دائمة، فإن العلاج المبكر يحمي ابتسامة طفلك وصحته العامة.
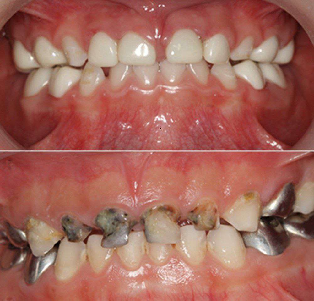
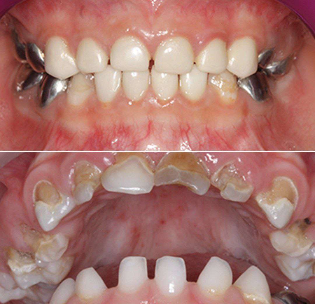
عندما يتعمق التسوس داخل السن ويصل إلى العصب (اللب)، قد يشعر الطفل بألم أو يظهر ُخراج. في هذه الحالة، يتم إجراء
علاج العصب (العلاج اللبي) لأنقاذ السن بدلًا من خلعه.
لا، حيث يتم استخدام التخدير الموضعي بدون ألم لضمان راحة الطفل. كما نحرص دائما على أن تكون التجربة مريحة وآمنة
لطفلك.
الطريق الدائري الرابع
مركز كلوفر
السبت - الخميس: 9 صباحًا - 10 مساءً
الجمعة: 2 ظهرًا - 10 مساءً
الفحيحيل اكسبريس
مبنى دانة الفرج
السبت - الخميس: 9 صباحًا - 10 مساءً
الجمعة: 2 ظهرًا - 10 مساءً
برج بلس لطب الأسنان، شارع حبيب مناور، الفروانية 80000، الكويت
السبت - الخميس: 9 صباحًا - 10 مساءً
زوروا فروعنا في الكويت وتعرّفوا على أوقات العمل المرنة التي صممناها لتناسب احتياجاتكم.