علاج الاسنان التجميلي
ما هو علاج الاسنان التجميلي؟
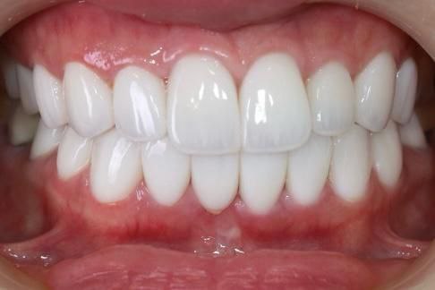
علاج الاسنان التجميلي هو تحسين شكل الاسنان والابتسامة واللثة.
أشهر أنواع العلاجات التجميلية:
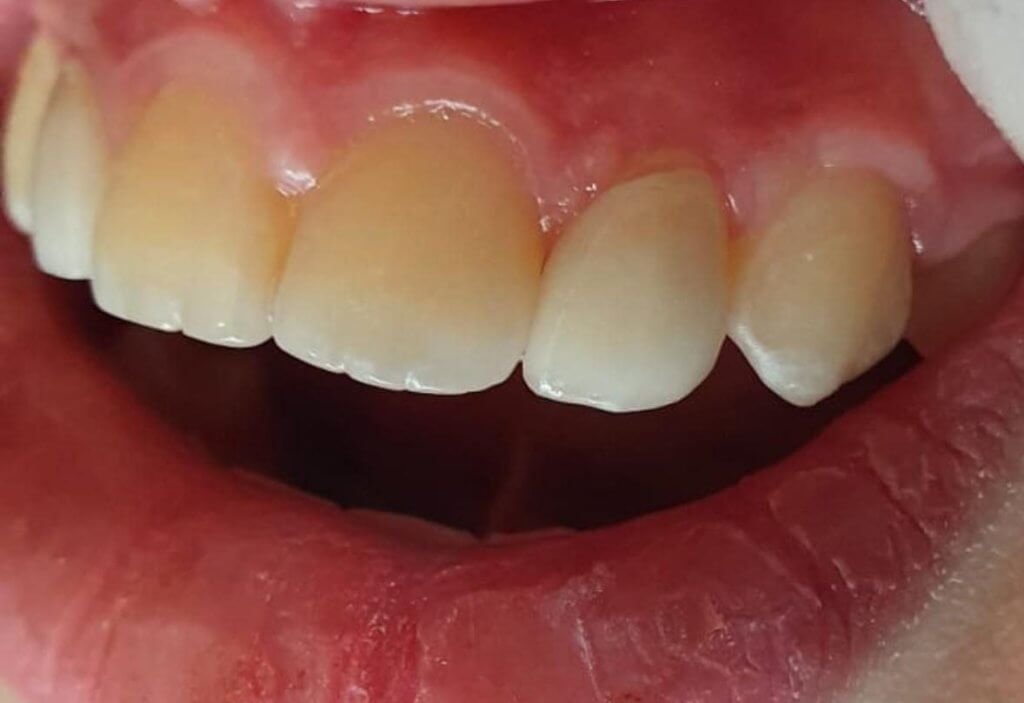
تبييض الاسنان
لجعل الاسنان أكثر بياضا ولمعانًا، ويتم في العيادة أو باستخدام أدوات منزلية بإشراف الطبيب.
الفينير
غلفة رقيقة توضع على الوجه الامامي للاسنان لتغيير شكلها أو لونها.
حشوات تجميلية
مادة بلون السن تُستخدم لاصلاح الكسور أو الفراغات الصغيرة
التيجان والجسور
تُستخدم لتغطية الاسنان التالفة أو لتعويض سن مفقود.
ُيستخدم هذا النوع من العلاج للأشخاص الذين يرغبون في:
- تبييض الأسنان
- اصلاح الاسنان المكسورة أو المتشققة
- إغلاق الفراغات بين الأسنان
- تعديل شكل أو حجم الأسنان
- تعويض الأسنان المفقودة
- تحسين الابتسامة والشعور بالثقة
فوائد علاج الأسنان التجميلي:
- تحسين مظهر الابتسامة
- زيادة الثقة بالنفس
- تحسين طريقة الأكل أو النطق أحيانًا
- حماية الأسنان في بعض الحالات
نصيحة ختامية:
الأسنان الجميلة ليست فقط للمظهر، بل تعطيك ثقة وصحة وشعور بالراحة كل يوم