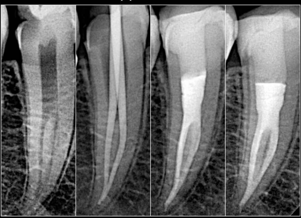
علاج جذور الأسنان
ما هو علاج جذور الأسنان (Root Canal)؟
علاج جذور الأسنان هو إجراء يهدف إلى:
- إزالة الجزء المصاب أو التالف داخل السن.
- تنظيف داخل السن.
- إغلاقه (حشوه) للحفاظ على صحته.
- ترميم السن بحشوة ثم وضع تاج (كراون).
متى أحتاج عالج العصب؟
- ألم شديد في السن
- حساسية قوية من السخونة أو البرودة.
- تسوس عميق وصل للعصب.
- كسر أو خراج (صديد) في السن.
ما فوائد علاج العصب؟
- يزيل الألم
- يحمي السن من الخلع.
- ُيعيد وظيفة السن الطبيعية
- يحافظ على شكل الابتسامة.
كيف أعتني بالسن بعد العلاج؟
- اتبع تعليمات الطبيب.
- خفف الأكل على السن المعالج لفترة قصيرة
- نظف أسنانك بالفرشاة والخيط
- راجع طبيبك لتركيب تاج (تلبيسة) لحماية السن
نصيحة ختامية:
علاج العصب هو طريقة آمنة وفعالة للحفاظ على سنك الطبيعي والتخلص من الألم.