أجهزة كسر العادات السيئة بالنسبه للفم و الأسنان
ما هي أجهزة كسر العادات السيئة؟
اجهزة كسر العادات السيئة هي أدوات بسيطة تركب داخل فم الطفل للمساعدة على إيقاف بعض العادات الفموية الضارة مثل:
- مص الابهام
- دفع اللسان للأمام
- عض الشفاه أو الأظافر
- استخدام المصاصة (الرضاعة الصناعية) لفترة طويلة
لماذا نستخدم هذه الأجهزة؟
لأن استمرار هذه العادات ممكن يسبب:
- بروز الأسنان الأمامية أو انفتاح العضة
- مشاكل في نطق بعض الحروف
- تشّوه في نمو الفك
- الحاجة إلى تقويم مستقبلا
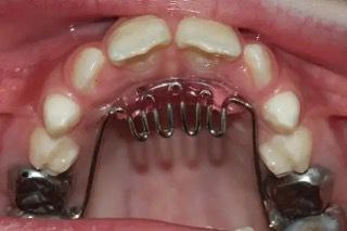
كيف يعمل الجهاز؟
- يركب داخل الفم، غالبًا على الفك العلوي.
- يعمل كـ حاجز يمنع الطفل من القيام بالعادة( مثل منع مص الاصبع أو دفع اللسان )
- يكون ثابت (لا يمكن إزالته في البيت)
- غالبًا يحتاج الطفل إلى الجهاز لبضعة أشهر فقط.
فوائد الجهاز :
- يمنع مشاكل تقويم الأسنان قبل حدوثها.
- يساعد على نمو سليم للفك والأسنان.
- يحسن النطق في بعض الحالات.
- يساعد الطفل على التخلص من العادة بدون توبيخ أو ضغط نفسي.
كيف تعتني بالجهاز؟
- غسل الاسنان مرتين يوميًا (بمساعدة الاهل إذا لزم الامر)
- الابتعاد عن الاطعمة اللزجة أو القاسية.
- مراجعة الطبيب بشكل دوري.
- يُزال الجهاز عندما يتوقف الطفل عن العادة تماما.
نصيحة ختامية:
هذه الأجهزة آمنة وفعّالة، تساعد الطفل على التخلص من عاداته السيئة بهدوء، وتحافظ على صحة فمه وابتسامته في المستقبل